MÁY ĐO THỊ TRƯỜNG MAIN SV-9000

MÁY ĐO THỊ TRƯỜNG MAIN SV-9000

Chu vi MediTech chính có kích thích màu trắng trên nền trắng, kiểm tra ánh sáng cung cấp kết quả chính xác và đáng tin cậy, cần thiết cho chẩn đoán chính xác. Với chức năng nhận dạng mắt tự động và kiểm tra đường kính đồng tử, quy trình kiểm tra được sắp xếp hợp lý, cho phép cải thiện hiệu quả. Chu vi SVF-9000 Pro chuyên về chế độ kiểm tra bệnh tăng nhãn áp, Kiểm tra màu xanh trên vàng (SWAP).
  • Liên hệ
  • 231
  • Gọi: 0979 628 283 để được tư vấn và mua hàng...
  • Địa chỉ:162/49 Nguyễn Văn Khối, Phường 9, Quận Gò Vấp

    Email: phamvantranghup94@gmail.com

Chu vi chiếu  chính  SVF-9000 

20 năm kinh nghiệm chuyên nghiệp  trong thị trường Perimeter

Ấn tượng đầu tiên

Chu vi chuyên nghiệp và chính xác với hệ thống điều khiển quang học thuần túy

Độ sáng kích thích được kiểm soát thông qua việc thay đổi vị trí thấu kính đa tiêu.

Hệ thống chiếu cơ học hiệu suất cao, có thể chiếu các điểm kích thích với độ chính xác cao, không có hạn chế về điểm chiếu

 

Chu vi Goldmann tiêu chuẩn   với đầy đủ chức năng

Tuân thủ đầy đủ các tiêu chuẩn của Goldmann.

Thử nghiệm cổ điển với kích thích màu trắng trên nền ánh sáng trắng.

Kiểm tra chuyên nghiệp với kích thích màu xanh trên nền ánh sáng vàng (SWAP).

Kiểm tra động học và tĩnh tất cả trong một. Kích thước con trỏ có thể thay đổi giữa Goldmann Ⅰ, Ⅱ, Ⅲ, Ⅳ & Ⅴ.

Tự động  nhận dạng mắt   và  đo  đường  kính đồng tử

Hệ thống tự động nhận dạng OD/OS và báo động để chỉ người vận hành, giúp tránh sai sót trong quá trình thử nghiệm.

Đường kính đồng tử tự động được đo trong quá trình kiểm tra để sửa lỗi thị giác.


 

 Thiết kế nhân bản  của  cơ khí và  cấu trúc

Hệ thống dây điện gọn gàng và bên trong tinh tế.

Mỗi mô-đun có thể được thay thế dễ dàng.

Đơn giản hóa dịch vụ bảo trì.

 

Hướng dẫn bằng giọng nói 

Hướng dẫn thí sinh cách hợp tác và chỉ dẫn thí sinh trong suốt quá trình làm bài thi bằng hướng dẫn bằng giọng nói.

 

 

Dicom

Hoạt động dữ liệu để tải lên và tải xuống thông tin bệnh nhân.

 

Biểu diễn phần mềm

 

* Kiểm tra chức năng đầy đủ

chương trình là tất cả

trong cài đặt mặc định

 

Biểu diễn phần mềm

Chiến lược kiểm tra hiệu quả  = Giảm thời gian kiểm tra + Độ chính xác

Các chiến lược kiểm tra xem xét đầy đủ các nhóm tuổi khác nhau, khả năng phản ứng, tính đều đặn của khuyết tật thị trường và sự phân bố của đảo thị trường, cung cấp giải pháp nhanh hơn cho bài kiểm tra chu vi thông minh, sáng suốt và tương tác.


Biểu diễn phần mềm

 

Hệ thống giám sát cố định nhiều

Theo dõi  độ tin cậy của kết quả thử nghiệm


 

 

Biểu diễn phần mềm

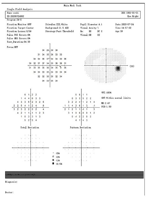
Báo cáo thử nghiệm cổ điển

Báo cáo xét nghiệm theo định dạng cổ điển, có thể được các bác sĩ trên toàn thế giới đọc và hiểu dễ dàng.

Sản phẩm cùng loại
Zalo
Hotline: 0979 628 283